Skip to content Skip to sidebar Skip to footer

Widget HTML #1

Why Is My Uvula Swollen : 3 Ways To Reduce Uvula Swelling Wikihow : If it worsens, off to the er you go!

Why Is My Uvula Swollen : 3 Ways To Reduce Uvula Swelling Wikihow : If it worsens, off to the er you go!. Inflammation is the body's automatic response to an injury, allergic reaction, or illness. Why is my uvula swollen when i wake up? Your uvula can also be injured during a tonsillectomy. It can be irritating, but it's usually temporary. Should i go to the hospital for a swollen uvula?

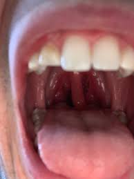
Uvulitis is a condition in which that dangling piece of flesh (uvula) at the back of your throat gets enlarged and swollen. Redness, soreness, and inflammation of the uvula is called uvulitis. A swollen, enlarged uvula can be extremely uncomfortable but is, fortunately, not as common as other forms of inflammation. Read below to find out how long a swollen uvula lasts and how to get treatment. It is very easy for those with a common cold to develop a swollen uvula as well.

Swollen Uvula Causes Symptoms And Remedies
Swollen Uvula Causes Symptoms And Remedies from cdn-prod.medicalnewstoday.com
Infections can lead to a swollen uvula, including the flu, mononucleosis, croup, and strep throat. Often this occurs from excessive mouth breathing when sleeping, like from sleep apnea or nasal congestion. Another instance, it can occur during medical procedures meant to facilitate breathing such as during intubation. Nonetheless, below are the reasons why you get uvulitis in your throat. Swollen uvula after drinking, smoking, or vomiting is quite common and generally not a cause for concern. Depending on the type of infection, you may also. In people who snore, shout a lot, or involve themselves in sports, a sore uvula is a common occurrence. Age less than 50, no travel and no fever make it unlikely of corona and more likely a viral common cold or herpangina ( blister on uvula).

Tonsillitis usually affects both tonsils, but can result in uvula swelling because of the infection and inflammation.

It is very easy for those with a common cold to develop a swollen uvula as well. Microbial infections, such as respiratory tract infections, strep throat, or mononucleosis can cause, thereby causing your uvula to become red and swollen. The term is a latin word that associated to large grape. Hello, at this time i would suggest liquids and ice. If you feel like you might have uvulitis, you can check this out by opening your mouth in front of a mirror and saying ah. The rapid air creates a suction current as it passes the uvula. Should i go to the hospital for a swollen uvula? Positioning yourself in a forward position may also help reduce the blocked feeling in your throat. Depending on the type of infection, you may also. If it worsens, off to the er you go! Sometimes the uvula can be burned with hot food that can result in swelling. Why is my uvula swollen and red? This type of swelling may come from food allergies, snoring or sleep apnea.

Microbial infections, such as respiratory tract infections, strep throat, or mononucleosis can cause uvulitis, thereby causing your uvula to become red and swollen. The term is a latin word that associated to large grape. An inflamed uvula can swell to many times its normal size and can affect both children and adults, regardless of gender, race, or any other factor. It is very easy for those with a common cold to develop a swollen uvula as well. The uvula hangs at the back of the mouth and may become swollen due to bacteria and viral infections.

3 Ways To Reduce Uvula Swelling Wikihow
3 Ways To Reduce Uvula Swelling Wikihow from www.wikihow.com
Ok so heres what i have been using to combat this. And, his tonsil on the right side is swollen now as well … read more Microbial infections, such as respiratory tract infections, strep throat, or mononucleosis can cause uvulitis, thereby causing your uvula to become red and swollen. Breathing at night through a congested nose actually makes the velocity and turbulence of the air increase. Should i go to the hospital for a swollen uvula? Hello, at this time i would suggest liquids and ice. In people who snore, shout a lot, or involve themselves in sports, a sore uvula is a common occurrence. Thats why they use it as a screening tool at the airports.

These are the few most common causes of uvulitis.

In people who snore, shout a lot, or involve themselves in sports, a sore uvula is a common occurrence. Why is my uvula swollen and red? A swollen uvula (the technical term is uvulitis) is a rare condition that is most often associated with strep throat, though it can also be caused by other factors. If you have a swollen uvula, you may also be experiencing a sore throat, trouble swallowing, and maybe even a fever. Why is my uvula swollen after tonsillectomy, drinking, or when i am dehydrated? And, he has a blood blister on it as well. If you feel like you might have uvulitis, you can check this out by opening your mouth in front of a mirror and saying ah. Ok so heres what i have been using to combat this. Why is my uvula swollen when i wake up? If you are wondering that what does strep throat look like; This is a physics principle called the bernoulli effect. Infections and allergic reactions can also cause this. Even a common cold can cause your uvula to swell.

Why is my uvula swollen when i wake up? Even a common cold can cause your uvula to swell. This inflammation can be accompanied by itching and a burning sensation. Infections and allergic reactions can also cause this. A swollen, enlarged uvula can be extremely uncomfortable but is, fortunately, not as common as other forms of inflammation.

What Is Swollen Uvula Full Explanation Live Healthy
What Is Swollen Uvula Full Explanation Live Healthy from livehealthyideas.com
This suction current will pull on the uvula and stretch it creating swelling. Sometimes the uvula can be burned with hot food that can result in swelling. Infections and allergic reactions can also cause this. Age less than 50, no travel and no fever make it unlikely of corona and more likely a viral common cold or herpangina ( blister on uvula). Nonetheless, below are the reasons why you get uvulitis in your throat. Now my uvula is swollen and sitting on my tounge. My son has a very swollen uvula so swollen that when he tried to swallow this morning it gagged him. Swelling of the uvula can occur together with swelling of the surrounding tissues such as tonsils and the throat.

A person with uvulitis may also have a sore throat and swallowing may become difficult or painful.

What to do for swollen uvula Infections and allergic reactions can also cause this. Another instance, it can occur during medical procedures meant to facilitate breathing such as during intubation. Depending on the type of infection, you may also. Various allergic reactions and infections can also cause sudden onset of uvula swelling. And, his tonsil on the right side is swollen now as well … read more If you have infected tonsils, or tonsillitis, severe inflammation can cause them to push against your uvula. This suction current will pull on the uvula and stretch it creating swelling. Why is my uvula swollen and red? Similarly, your uvula can become swollen and sore resulting in inflammation called uvulitis. My son has a very swollen uvula so swollen that when he tried to swallow this morning it gagged him. The uvula is the dangly piece of flesh at the back of the throat. Redness, soreness, and inflammation of the uvula is called uvulitis.